Non-Surgical Relief For Shoulder Pain In Hood River, OR
The shoulder joint is the most mobile joint in your body. But this mobility comes at a price. The body’s constant struggle to keep the joint stable can cause problems when there’s an injury or degenerative disease.
Most patients considering surgery for a shoulder injury, degenerative condition, or osteoarthritis are looking for pain relief. However, research shows that shoulder surgery isn’t all that effective for many patients.1 While your shoulder MRI could indicate a tear or degeneration, it may not be the cause of pain.2
Regenexx Alternative to Shoulder Surgery
What Types of Shoulder Injuries Can Be Treated With Regenexx?
Various types of shoulder injuries may benefit from Regenexx procedures. However, the injuries most often seen by Regenexx physicians are:
- Rotator cuff tears
- Labrum tears/ SLAP tears
- Shoulder osteoarthritis and degeneration
- Shoulder instability
- Separated shoulders
- Biceps tendon tears
- Avascular necrosis or osteonecrosis
- Frozen shoulders
1010 10th Street
Hood River, OR 97031
Request an Appointment
Call to Schedule Schedule OnlineClinic Hours
| Sunday | Closed |
| Monday | 8AM–5PM |
| Tuesday | 8AM–5PM |
| Wednesday | 8AM–5PM |
| Thursday | 8AM–5PM |
| Friday | 8AM–5PM |
| Saturday | Closed |
Can I Avoid Shoulder Surgery?
In many cases the answer is yes. Regenexx has alternatives to shoulder surgery that help your body use its healing abilities to treat pain and promote a more speedy recovery.
Am I a candidate?Regenexx Shoulder Procedures
Regenexx procedures are non-surgical alternatives that use precise image-guided injections of your body’s own natural healing agents to treat shoulder injuries. These procedures utilize either platelet-rich plasma or your own bone marrow concentrate (contains stem cells) to help you avoid shoulder surgery. Once you’ve been evaluated, your physician will customize a treatment plan based on your specific needs.
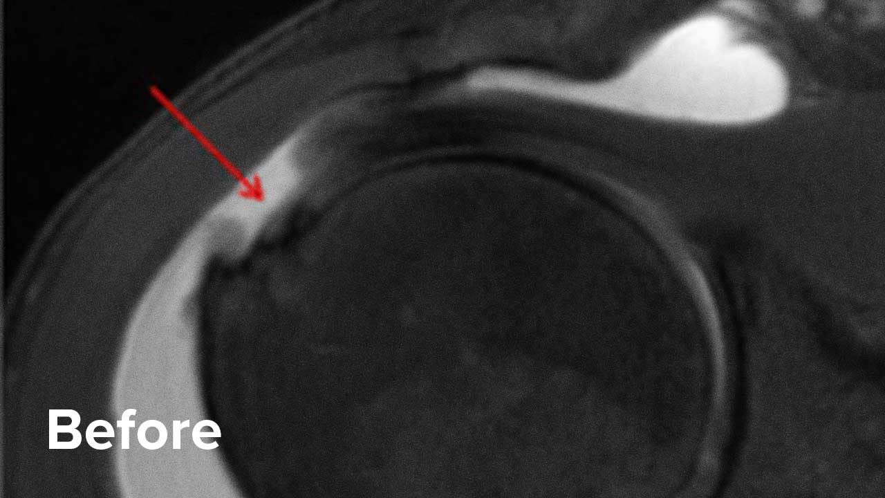
Before and After Shoulder Repair MRI Images
Take a look at the outcomes of two of our patients who chose to have a Regenexx procedure instead of surgery.
Scroll the arrow to the right to see the MRI of the rotator cuff before the treatment and to the left to see the outcome. The BEFORE shows a torn rotator cuff. The arrow points at a gap where the tendon should be. Once treated, the area will look like a dark band going diagonally, as seen on the AFTER.
Patient 1 MRI
Patient 2 MRI
Webinar: Alternatives to Shoulder Surgery
Learn the latest about interventional orthopedics, and how Regenexx procedures can treat your shoulder injury without surgery.
Register for the webinarPatient FAQs
The shoulder is a shallow ball-and-socket joint. The ball is called the humerus bone, and the socket is called the glenoid. The lip around the socket is called the labrum (Latin for “lip”), and its main job is to keep the shoulder ball inside its shallow socket. Ligaments and the rotator cuff also help keep the shoulder in place.
Shoulder instability occurs when tendons and ligaments get stretched, torn due to trauma, or simply worn out due to age and allow too much motion in the joint. This additional motion leads to arthritis as sections of the joint are exposed to more wear and tear, bone spurs as your body’s solution to “shoring up” an unstable joint, and tears and stretching of the ligaments as they deal with forces they’re not designed to withstand.3
Request an Appointment
References
1. Dezaly C, Sirveaux F, Philippe R, Wein-Remy F, Sedaghatian J, Roche O, Molé D. Arthroscopic treatment of rotator cuff tear in the over-60s: repair is preferable to isolated acromioplasty-tenotomy in the short term. Orthop Traumatol Surg Res. 2011 Oct;97(6 Suppl):S125-30. doi: 10.1016/j.otsr.2011.06.006. Epub 2011 Jul 27. PMID: 21798838.
2. Okamura K, Kobayashi T, Yamamoto A, Shitara H, Osawa T, Ichinose T, Takagishi K. Shoulder pain and intra-articular interleukin-8 levels in patients with rotator cuff tears. Int J Rheum Dis. 2017 Feb;20(2):177-181. doi: 10.1111/1756-185X.12581. Epub 2015 Apr 30. PMID: 25930944
3. Culham E, Peat M. Functional anatomy of the shoulder complex. J Orthop Sports Phys Ther. 1993 Jul;18(1):342-50. doi: 10.2519/jospt.1993.18.1.342. PMID: 8348135.




